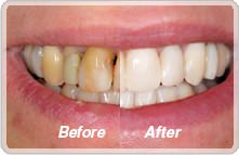
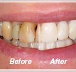
Periodontal tissue is the tissue that support the teeth. This includes the bone, gums, mucous membrane and ligaments surrounding the teeth. Periodontitis is an inflammatory process in tissues surrounding the tooth. It is the second most common dentition disease after caries. Periodontitis is an infectious disease where the destruction of the apparatus supporting the tooth is present. The infection enters the space between the tooth and gum and begins to destroy the root of the tooth along with bone.
At some point in life, 100% of the adult population and 80% of children, according to WHO experts, have observed certain signs of periodontitis. Periodontitis is a major cause of tooth loss in older adults. If you are experiencing any signs of this disease, you should seek dental help from your local Dentist Tulsa OK.
The causes of periodontal disease and periodontitis
Causes of periodontal disease are unknown until the end. Genetic predisposition plays a huge role in the process, but periodontal disease often develops on the background of other pathologies, such as atherosclerosis, diabetes and gastrointestinal tract disorders. Hypovitaminosis, changes in reactivity and others also influence malnutrition of the tissues surrounding the tooth, due to the nature of blood circulation in the zone. Visit the site for the best dentists.
Local factors, such as exposure to periodontal microorganisms can aggravate the process as well. Periodontitis may also be due to the action of pathogenic microorganisms that accumulate in the plaque and calculus, tooth injury, tooth decay, poor performance or restoration of tooth integrity. The risk of periodontitis is significantly increased if good oral hygiene is not present, along with other issues like dental curvature, malocclusion, poor nutrition, and an overall poor immune reactivity. Plainly put, keeping your dental health up to par is important to overall health, and vice versa.
The main cause of gum disease is bacterial plaque, which is a sticky, colorless film that constantly forms on the teeth. If this plaque is not removed, it hardens and forms a rough porous build-up, which is called tartar. With the progression of the disease, toxins can lead to the destruction of the tissues supporting the teeth. Between the tooth and gum is a formed space, otherwise known as a periodontal pocket, which is filled with plaque. Periodontitis can develop into gum disease, also known as gingivitis, if it is not taken care of quickly. Visit Southarddental.com or contact your local Dentist Tulsa OK for more information.


